All-on-4 Dental Implants
Traditional dentures solve the base problems of tooth loss, like difficulty chewing or talking, but they also mean limitations.
Dentures secured by All-on-4® dental implants, on the other hand, offer increased stability and improved bone health.
Ready to enjoy your smile again? Visit the caring dentists at Atlanta West Dentistry in Marietta, GA, to explore your eligibility.
What Is All-on-4? A Stronger, More Natural-Looking Denture

You may already know all about traditional dentures, which are placed over your gums. If you want a more stable option that looks like your natural teeth, All-on-4 dentures offer a solution.
Using just four dental implants per arch, they can secure zirconia dentures in place. The All-on-4 technique places two of the implants at strategic angles, so unlike traditional implant-supported dentures, many patients with moderate bone loss can still qualify for treatment.
Put Your Smile First With an All-on-4 Denture
After tooth loss, you are at a high risk for bone loss. Normally, the roots of each tooth provide stimulation to the jaw bone that keeps it strong. When teeth are missing, however, the bone will deteriorate. Over time, depleted bone tissue can create a sunken appearance, aging you prematurely. Fortunately, All-on-4 dental implants prevent this problem.
How? Dental implants essentially take on the job your tooth roots used to do, stimulating your jawbone tissue and keeping it strong and healthy. Traditional dentures simply cannot achieve these accomplishments, which is why All-on-4 implants are such an important investment in your health.
More Advantages of All-on-4
After losing your natural teeth due to damage or decay, you may feel like you can never get a complete smile back. That's not the case with implant-supported dentures like the All-on-4 system. After treatment, our Marietta, GA, patients see benefits like:
Security
No need to worry about your dentures slipping out of place — using implants, the All-on-4 system has you covered.
Discretion
All-on-4 dentures will look just like your natural teeth thanks to their stability and lifelike materials, such as zirconia.
Functionality
With implant dentures, you'll find it easier to chew, talk, and smile than you would with traditional ones.

Restore Your Smile in One Day With All-on-4
Other Implant Dentures At Our Marietta Practice
All-on-X
Don't qualify for All-on-4 dental implants? We feature an option from the same manufacturer: the All-on-X® system, which uses the same technique but with additional implants to secure your dentures.
Zest Fixed Hybrid Denture
We offer Zest fixed hybrid dentures if you want a more affordable option. Though made of less durable acrylic, like All-on-4 they remain fixed in the mouth outside of dental cleanings.
Snap-On Dentures
This is our lowest-priced implant denture option. It is removable, and needs to be taken out before bed and reattached to your implants in the morning. There are some foods you will not be able to eat.
Our Dentists Help Marietta Patients Feel Completely At Ease
Absolutely loved my experience here!!
Sam was an amazing dental hygienist and really helped with my dentist anxiety!!! She was so understanding and patient. So sweet!
Dr. Shepherd was awesome as well!
Everyone that works there is so kind and I look forward to see them again in 6 months! :)
I’ve been to several dental places in Georgia, Atlanta West Dentistry beats them all. Dentists are not my favorite people but Dr Watson and his team are indeed a special breed - kind, nice, courteous and knowledgeable. I felt a little nervous on arrival- typical me, but left feeling relaxed and looking forward to my dental procedure next week - the first time feeling this way in all of my 72 years!!! Thank you Dr Watson. Thank you everyone that attended to me yesterday. YOU ARE FIRST AMONGST EQUALS!!! You’re the best. God bless you all ~
View on Google"Thank you for helping me smile beautifully again."
Addressing Anxiety Directly With Sedation
It can be hard to pursue the care you need if you're afraid of going to the dentist. We aim to make treatment as stress-free as possible. We start with a welcoming office experience, listening attentively to your concerns and answering your questions. For patients who need extra help relaxing, we offer sedation dentistry options.
After ensuring sedation is safe for you, we can explore several relaxing methods. From IV sedation, to nitrous oxide, to oral conscious sedation, our dentists can work with you to find a calming sedation method that's right for your needs.
A Real Marietta Patient Talks About Their Experience with Dental Implants
"Atlanta West Dentistry is a fabulous office. I am one of the "terrified of the dentist" patients. It took all I could do to go into that office the first time. But everyone there...are all excellent. I have had fillings, crowns and my latest adventure, an implant. With each procedure, I have been treated with the utmost kindness and professionalism. They make it so easy and are so reassuring. Each procedure is explained in detail, they take their time with you and patiently answer all questions...I found the beauty of IV sedation for my extraction and had absolutely no problems at all...They make you feel as you are part of a family." Deb White
An Important Reminder
/
While traditional dentures are the most affordable option at $1,900 per arch, they simply don't have the health benefits or stability of implant dentures. Invest in your smile, confidence, and quality of life by looking beyond the price of our transformative options.
Ways We Make It Easier To Pay for Your All-on-4 Implants and Dentures
Multiple Payment Options
Our dental team accepts several payment methods, like cash, major credit cards, and insurance. While dental implants and sedation will not be eligible for insurance coverage, your provider can potentially help with the cost of your dentures themselves.
Free Consultations
Putting your oral health first is a big step, especially after years of dealing with with the risks of worsening periodontal disease, tooth trauma, and decay. We're here to help, which is why we feature free consultations and second opinions.
Financing and Savings Plans
All-on-4 dental implants and dentures are well worth the investment. To widen your options, we accept financing from lenders like Sunbit, Proceed Finance, and CareCredit®. We also have an in-office savings plan as well.
The Components of an Implant Denture
Dental Implants
Think of a dental implant as a substitute for your tooth's roots. We use zirconia or titanium screws that we safely place into your jawbone and gum. There, they'll stimulate your bone tissue and anchor your new denture into place.
Abutments
To secure your dental implants to your dentures, we use connectors known as abutments. Rest assured, the implants and abutment will both be concealed completely by your natural-looking dentures.
Denture
At our Marietta practice, we offer several kinds of dentures made from lifelike materials like acrylic and zirconia. These dentures can be attached to your abutment, giving you a stable, dependable new smile.
What Happens During All-on-4 Treatment?
At our practice, sedation is available at all times to keep you calm and comfortable.
Implant Dentures
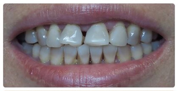
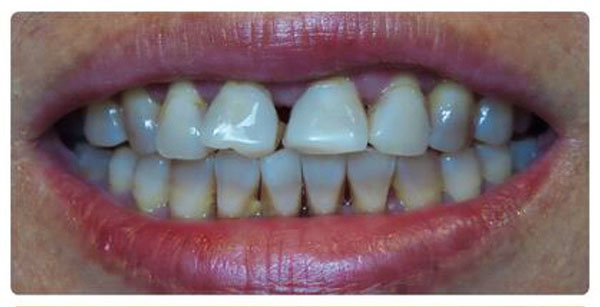
Gave This Patient New Confidence
And It Clearly Shines Through
After finding out that she needed dentures, our patient Tang was unhappy with the idea of traditional tooth restoration methods.
At our practice, we showed Tang the benefits of implant dentures and conducted her treatment. Now, she has a strong, lifelike smile all her own.
Cobb County's Choice For Exceptional Dentistry
Absolutely the best dentist office around. I have been using this office since the 80’s when it was Dr Baker. I will never go to anyone else.
View on GoogleThe best dental care!!! Professional, courteous, and friendly staff have become like a family to me over the last 30 years, starting with Dr Baker . I would highly recommend to anyone!!!
View on Google






